-
목차
안녕하세요! 혹시 갑자기 말이 어눌해지거나 팔다리에 힘이 빠지시나요?
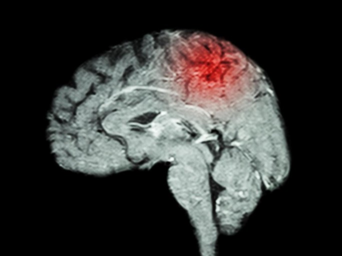
오늘은 우리 뇌의 혈액순환에 문제가 생겨 발생하는 응급 질환, 뇌경색의 초기 증상에 대해 이야기하려 합니다. 뇌경색은 뇌혈관이 막혀 뇌 조직이 손상되는 질환으로, '골든 타임'을 놓치면 영구적인 장애를 남기거나 생명을 잃을 수도 있습니다.






뇌경색 초기증상 증상을 잘 알아두고 신속하게 대처하는 것이 매우 중요합니다. 지금부터 뇌경색의 10가지 주요 초기 증상들을 꼼꼼히 살펴보고, 건강을 지키는 첫걸음을 함께 시작해 볼까요? ⏰
뇌경색 초기증상
뇌경색은 갑작스럽게 증상이 나타나는 경우가 많으며, 증상들이 복합적으로 나타날 수 있습니다. 특히 뇌 손상 부위에 따라 증상이 다르게 나타날 수 있습니다. 다음은 뇌경색 환자들이 흔히 겪는 10가지 주요 초기 증상입니다.
- 얼굴, 팔, 다리의 마비 또는 감각 이상
- 설명: 뇌경색의 가장 흔한 증상 중 하나입니다. 주로 몸의 한쪽 편(얼굴, 팔, 다리)에 갑자기 힘이 빠지거나 저리는 느낌, 감각이 둔해지는 증상이 나타납니다. 젓가락질이나 펜을 잡는 등 섬세한 손동작이 어려워지기도 합니다.






뇌경색 초기증상 - 언어 장애 (구음 장애)
- 설명: 갑자기 말이 어눌해지거나 발음이 꼬여서 상대방이 알아듣기 어려운 상태가 됩니다. 혀가 마비된 것처럼 느껴지거나, 말을 하려고 해도 단어가 떠오르지 않아 대화가 힘들어지는 증상이 나타나기도 합니다.
- 시야 장애
- 설명: 한쪽 눈이 잘 보이지 않거나, 시야가 흐릿해지거나, 물체가 두 개로 보이는 복시 현상이 나타날 수 있습니다. 이러한 증상은 일시적으로 나타났다가 사라지기도 하지만, 뇌경색의 중요한 신호이므로 절대 간과해서는 안 됩니다.






뇌경색 초기증상 - 극심한 두통
- 설명: 경험해 보지 못한 극심한 두통이 갑자기 찾아올 수 있습니다. 특히 뇌출혈과 함께 나타나는 경우가 많으며, 통증과 함께 메스꺼움, 구토가 동반될 수 있습니다.
- 어지러움 및 균형 감각 상실
- 설명: 갑자기 어지럽고 비틀거리며 걷기 힘들어지는 증상입니다. 마치 술에 취한 것처럼 보행이 불안정해지고, 균형을 잡지 못해 넘어질 수 있습니다.






뇌경색 초기증상 - 의식 저하
- 설명: 증상이 심할 경우 의식을 잃거나 혼수상태에 빠질 수 있습니다. 이는 즉시 응급 처치가 필요한 매우 위험한 상황입니다.
- 기억력 및 인지 기능 저하
- 설명: 드물게 초기 증상으로 갑작스러운 기억력 저하, 판단력 저하, 혼란 증상이 나타날 수 있습니다.






뇌경색 초기증상 - 연하곤란 (삼키기 어려움)
- 설명: 음식물이나 침을 삼키기 어려운 증상입니다. 특히 물을 마실 때 사레가 자주 걸리는 경우 뇌경색의 가능성을 의심해볼 수 있습니다.
- 갑작스러운 시력 상실
- 설명: 한쪽 눈의 시력이 갑자기 사라지는 증상이 나타날 수 있습니다. 이는 망막 혈관이 막혔을 때 발생하는 것으로, 뇌경색의 전조 증상일 수 있습니다.






뇌경색 초기증상 - 안면 마비
- 설명: 얼굴의 한쪽이 일그러지고, 입꼬리가 한쪽으로 처지거나 웃을 때 좌우 비대칭이 심해지는 증상이 나타납니다.
뇌경색 관리를 위한 간략한 주의사항
- 골든 타임: 위와 같은 증상이 하나라도 나타나면 즉시 119에 전화하여 응급실로 가야 합니다. 증상 발생 3시간 이내에 혈전 용해제를 투여하면 큰 효과를 볼 수 있습니다.
- F.A.S.T. 뇌경색의 3가지 주요 증상을 기억하세요. Face(얼굴 마비), Arm(팔 마비), Speech(언어 장애), Time(시간).
- 생활 습관 개선: 고혈압, 당뇨, 고지혈증 등 기저 질환을 관리하고, 금연, 절주, 규칙적인 운동을 통해 혈관 건강을 지키세요.
오늘 함께 알아본 뇌경색의 초기 증상들이 여러분의 건강 관리에 큰 도움이 되었으면 합니다. 뇌경색은 시간이 생명인 질환입니다. 우리 몸이 보내는 경고 신호를 놓치지 않고 빠르게 대처하면 충분히 극복할 수 있습니다. 오늘 알려드린 내용을 바탕으로 궁금한 점이 있다면 언제든지 전문 의료진과 상담하는 것을 잊지 마세요. 우리 모두 건강한 삶을 위해 노력해요!
당뇨에 좋은 과일 10가지
당뇨 관리에 있어 가장 중요한 것은 혈당을 안정적으로 유지하는 식습관입니다.특히 과일은 비타민과 미네랄, 항산화 물질이 풍부하지만,과당이 많아 혈당을 올릴 수 있어 섭취에 주의가 필요
wjdcorwl.ehsaksgdl.com
저혈압 증상 10가지
안녕하세요! 오늘은 많은 분들이 궁금해하시는 저혈압의 증상에 대해 이야기하려 합니다. 저혈압은 고혈압만큼 큰 위험을 초래하지 않는다고 생각하기 쉽지만, 삶의 질을 떨어뜨리고 심한 경우
wjdcorwl.ehsaksgdl.com
- 얼굴, 팔, 다리의 마비 또는 감각 이상