-
목차
안녕하세요! 혹시 요즘 기침이 심하고 가래에 피가 섞여 나오나요?
오늘은 많은 분들이 궁금해하는 폐암 초기 증상에 대해 이야기하려 합니다. 폐암은 한국인의 사망 원인 1위인 암으로, 초기에는 뚜렷한 증상이 없거나 감기와 비슷해 간과하기 쉽습니다.






폐암 초기증상 하지만 몸이 보내는 작은 신호들을 놓치지 않고 조기에 발견하여 치료를 시작하는 것이 매우 중요합니다. 지금부터 폐암의 10가지 주요 초기 증상들을 꼼꼼히 살펴보고, 건강을 위한 첫걸음을 함께 시작해 볼까요? 💨
폐암 초기증상
폐암은 암세포가 커지거나 주변 기관으로 전이되면서 다양한 증상을 유발합니다. 증상이 나타났을 때는 이미 어느 정도 진행된 경우가 많으므로, 아래 증상들을 주의 깊게 살펴봐야 합니다. 다음은 폐암 환자들이 흔히 겪는 10가지 주요 초기 증상입니다.
- 지속적인 기침
- 설명: 폐암 환자에게 가장 흔히 나타나는 증상입니다. 감기나 기관지염과 달리, 치료를 해도 2주 이상 지속되는 마른기침이 특징입니다. 암세포가 기도(기관지)를 자극하거나 막으면서 기침이 계속 유발되기 때문입니다. 만성 기침을 앓고 있는 흡연자라면 더욱 주의 깊게 살펴봐야 합니다.






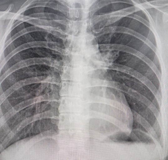
폐암 초기증상 - 가래에 피가 섞여 나옴 (객혈)
- 설명: 기침과 함께 피가 섞인 가래나 피 덩어리가 나오는 증상입니다. 암세포가 기관지 점막의 혈관을 침범하여 손상시키면서 발생합니다. 가래에 묻어 나오는 정도부터 덩어리진 피가 나오는 경우까지 다양합니다. 소량이라도 객혈이 나타나면 즉시 병원을 방문해야 합니다.
- 호흡 곤란 및 흉통
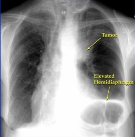
- 설명: 폐암 세포가 커지면서 기도를 좁히거나, 흉수(가슴에 물이 참)가 발생하면 숨이 차고 호흡이 곤란해집니다. 처음에는 운동할 때만 숨이 차다가, 병이 진행될수록 가만히 있어도 숨쉬기 힘들어집니다. 또한, 암세포가 흉벽(갈비뼈, 늑막)으로 전이되면 날카롭거나 둔한 흉통이 발생할 수 있습니다.






폐암 초기증상 - 목소리 변화 (쉰 목소리)
- 설명: 폐암 세포가 성대 신경을 압박하거나 침범하면 성대 근육이 마비되어 목소리가 쉬거나 변하는 증상이 나타납니다. 감기나 후두염과 달리 특별한 이유 없이 목소리가 변하고, 시간이 지나도 회복되지 않는 것이 특징입니다.
- 반복되는 폐렴 또는 기관지염
- 설명: 폐암 세포가 기관지를 막아 공기 순환을 방해하면 그 뒤에 있는 폐 조직에 세균 감염이 발생하기 쉽습니다. 이로 인해 폐렴이나 기관지염에 자주 걸리거나, 항생제 치료에도 잘 낫지 않는 증상이 나타날 수 있습니다.






폐암 초기증상 - 체중 감소 및 식욕 부진
- 설명: 암세포는 성장 과정에서 많은 에너지를 소모합니다. 이로 인해 충분히 먹는데도 불구하고 체중이 급격히 줄어들거나, 식욕이 없어 음식을 제대로 섭취하지 못하는 증상이 나타납니다.
- 피로감 및 무기력증
- 설명: 암세포가 성장하면서 몸의 에너지를 빼앗아가기 때문에 극심한 피로감과 무기력증을 느끼게 됩니다. 아무리 쉬어도 피로가 풀리지 않는 것이 특징입니다.






폐암 초기증상 - 두통 및 어지러움
- 설명: 폐암이 뇌로 전이되면 머리가 아프거나 어지러움, 구토, 경련 등의 증상이 나타날 수 있습니다.
- 뼈 통증
- 설명: 폐암이 뼈로 전이되면 어깨, 등, 갈비뼈, 골반 등에서 통증이 발생할 수 있습니다.






폐암 초기증상 - 목이나 얼굴 부종
- 설명: 폐암 세포가 상대정맥(심장으로 혈액을 보내는 큰 정맥)을 압박하면 목, 얼굴, 팔 등이 붓는 증상이 나타날 수 있습니다. 이 경우 즉시 치료를 받아야 합니다.
폐암 조기 관리를 위한 간략한 주의사항
- 금연: 흡연은 폐암의 가장 큰 원인이므로, 반드시 금연해야 합니다.
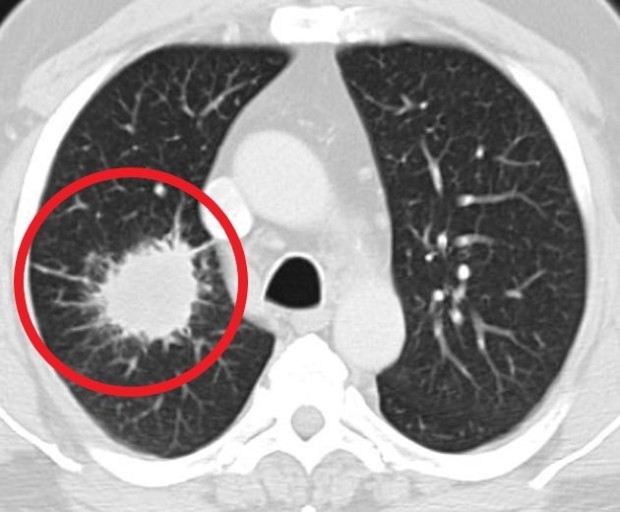
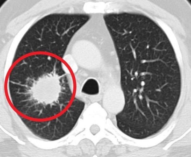
- 정기적인 건강 검진: 위와 같은 증상이 하나라도 나타나면 즉시 병원을 방문하여 흉부 X-ray, CT 촬영 등 검사를 받는 것이 중요합니다.
- 자가 진단 피하기: 임의로 약을 복용하거나 자가 진단을 하는 것은 위험합니다. 정확한 진단과 치료를 위해 전문 의료진의 진료를 받는 것이 가장 중요합니다.
오늘 함께 알아본 폐암 초기 증상들이 여러분의 건강 관리에 큰 도움이 되었으면 합니다. 폐암은 조기 발견과 치료가 매우 중요한 질환이니, 몸이 보내는 신호에 귀 기울여 신속하게 대처하는 것이 중요합니다. 오늘 알려드린 내용을 바탕으로 궁금한 점이 있다면 언제든지 전문 의료진과 상담하는 것을 잊지 마세요. 우리 모두 건강한 삶을 위해 노력해요!
췌장염 증상
안녕하세요! 혹시 갑작스럽고 극심한 복통이 있으신가요?오늘은 우리 몸의 중요한 소화기관인 췌장에 발생하는 염증 질환, 췌장염의 증상에 대해 이야기하려 합니다. 췌장염은 췌장이 스스로를
wjdcorwl.ehsaksgdl.com
생강 효능 10가지
안녕하세요! 오늘은 우리의 식탁에서 흔히 만날 수 있는 향신료, 바로 생강에 대해 이야기하려 합니다. 맛과 향뿐만 아니라 놀라운 건강 효능을 지니고 있는 생강!과연 어떤 점들이 우리 몸에 좋
wjdcorwl.ehsaksgdl.com
- 지속적인 기침