-
목차
안녕하세요! 혹시 소변을 볼 때 불편함이나 통증을 느끼시나요?
오늘은 남성에게 발생하는 주요 암 중 하나인 전립선암의 초기 증상에 대해 이야기하려 합니다. 전립선암은 초기에는 증상이 매우 미미하거나 전립선 비대증과 같은 양성 질환과 유사하여 간과하기 쉽습니다.






전립선암 초기증상 하지만 조기에 발견할 경우 치료 예후가 매우 좋으므로, 전립선 건강에 대한 작은 신호라도 놓치지 않고 관심을 가지는 것이 중요합니다. 특히 50세 이상 남성이라면 더욱 주의가 필요합니다. 지금부터 전립선암의 10가지 주요 초기 증상들을 꼼꼼히 살펴보고, 건강을 지키는 첫걸음을 함께 시작해 볼까요? 🚻
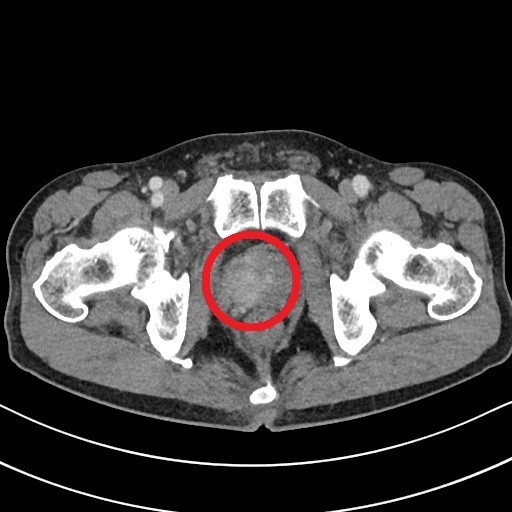
전립선암 초기증상
전립선은 방광 바로 아래에 위치하며 요도를 감싸고 있기 때문에, 전립선에 암이 발생하면 주로 소변(배뇨)과 관련된 증상들이 초기부터 나타나는 경우가 많습니다. 다음은 전립선암 환자들이 흔히 겪는 10가지 주요 초기 증상입니다.
- 소변이 잘 나오지 않음 (배뇨 곤란)
- 설명: 전립선암이 커지면서 요도(소변이 나오는 통로)를 압박하여 소변의 흐름을 방해합니다. 이로 인해 소변을 볼 때 힘을 주어야 하거나, 소변 줄기가 약해지고 가늘어지는 증상이 나타납니다. 이는 전립선 비대증의 증상과 매우 유사하여 오인하기 쉽습니다.






전립선암 초기증상 - 소변을 자주 봄 (빈뇨)
- 설명: 전립선암이 방광을 자극하거나 소변이 완전히 비워지지 못해 잔뇨가 남아있을 경우, 소변이 마렵다는 느낌을 자주 받게 됩니다. 특히 주간뿐만 아니라 야간에도 소변을 보기 위해 잠에서 깨는 야간뇨 증상이 흔하게 나타납니다.
- 소변을 본 후 잔뇨감
- 설명: 소변을 봐도 시원하지 않고 방광에 소변이 남아있는 듯한 느낌(잔뇨감)을 느낍니다. 이는 전립선이 커져 요도를 막으면서 방광이 소변을 완전히 짜내지 못하기 때문에 발생합니다.






전립선암 초기증상 - 갑작스럽고 참기 힘든 요의 (절박뇨)
- 설명: 소변이 마렵기 시작하면 참기 힘들어 화장실을 급하게 찾아야 하는 증상입니다. 전립선암이 방광 주변의 신경을 자극하거나 방광의 기능에 영향을 미칠 때 발생합니다.
- 소변에 피가 섞여 나옴 (혈뇨)
- 설명: 암이 진행되어 요도나 방광 경부를 침범했을 경우 소변에 피가 섞여 나오는 혈뇨가 나타날 수 있습니다. 하지만 이는 암이 어느 정도 진행된 후 나타날 수도 있고, 방광염이나 요로결석 등 다른 질환으로도 발생할 수 있습니다.






전립선암 초기증상 - 정액에 피가 섞여 나옴 (혈정액증)
- 설명: 전립선은 정액의 일부를 만드는 기관이기 때문에, 암세포가 정낭 등을 침범하게 되면 사정 시 정액에 피가 섞여 나오는 증상이 나타날 수 있습니다.
- 발기 부전 및 성기능 장애
- 설명: 전립선 주변에는 발기에 관여하는 신경 다발이 지나가는데, 암이 이 신경을 침범하거나 가까이 위치할 경우 성기능 장애나 발기 부전이 나타날 수 있습니다.






전립선암 초기증상 - 배뇨 시 또는 사정 시 통증
- 설명: 암세포가 주변 조직이나 신경을 침범할 경우 소변을 보거나 사정할 때 통증을 느낄 수 있습니다. 이는 비교적 후기에 나타날 수 있는 증상입니다.
- 허리, 엉덩이, 다리 통증
- 설명: 전립선암은 뼈로 전이가 잘 되는 암입니다. 암세포가 척추, 골반, 허벅지 뼈 등으로 전이되었을 경우, 해당 부위에 지속적이고 심한 통증을 유발합니다. 이는 암이 상당히 진행된 경우에 나타나는 증상입니다.






전립선암 초기증상 - 체중 감소 및 피로
- 설명: 모든 암에서 나타날 수 있는 전신 증상으로, 식욕 부진 없이 특별한 이유 없이 체중이 감소하거나 극심한 피로감과 무기력증을 느낄 수 있습니다.
전립선암 조기 관리를 위한 간략한 주의사항
- 정기 검진 필수: 50세 이상 남성은 **매년 혈액 검사(PSA, 전립선특이항원)**와 직장수지검사를 통해 조기 검진을 받는 것이 중요합니다. 가족력이 있다면 40대부터 검진을 시작해야 합니다.
- 배뇨 증상 주의: 배뇨 곤란, 빈뇨, 야간뇨 등 배뇨 관련 증상이 나타나면 노화나 단순 비대증으로 치부하지 말고 반드시 비뇨의학과 전문의의 진료를 받아야 합니다.
- 건강한 생활 습관: 저지방 식단, 규칙적인 운동, 적정 체중 유지는 전립선암 예방에 도움이 됩니다.
오늘 함께 알아본 전립선암의 초기 증상들이 여러분의 건강 관리에 큰 도움이 되었으면 합니다. 전립선암은 조기에 발견하면 완치율이 매우 높으므로, 작은 증상이라도 놓치지 않고 신속하게 대처하는 것이 중요합니다. 오늘 알려드린 내용을 바탕으로 궁금한 점이 있다면 언제든지 전문 의료진과 상담하는 것을 잊지 마세요. 우리 모두 건강한 삶을 위해 노력해요!
폐암 초기증상
안녕하세요! 혹시 요즘 기침이 심하고 가래에 피가 섞여 나오나요?오늘은 많은 분들이 궁금해하는 폐암 초기 증상에 대해 이야기하려 합니다. 폐암은 한국인의 사망 원인 1위인 암으로, 초기에
wjdcorwl.ehsaksgdl.com
오미자 효능 10가지
안녕하세요! 혹시 요즘 입맛이 없거나 기력이 부족하신가요?오늘은 다섯 가지 맛을 모두 가지고 있다고 해서 이름 붙여진 오미자의 효능에 대해 이야기하려 합니다. 오미자는 단맛, 신맛, 쓴맛,
wjdcorwl.ehsaksgdl.com
뇌경색 초기증상
안녕하세요! 혹시 갑자기 말이 어눌해지거나 팔다리에 힘이 빠지시나요?오늘은 우리 뇌의 혈액순환에 문제가 생겨 발생하는 응급 질환, 뇌경색의 초기 증상에 대해 이야기하려 합니다. 뇌경색
wjdcorwl.ehsaksgdl.com
- 소변이 잘 나오지 않음 (배뇨 곤란)